
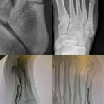
Hediano Sport Club Reportado como jugador Fernon Feron Fue administrado con éxito Quince fracturas metatarsianas en su pie izquierdo. Esto sucedió en el partido contra Gwadalupe el jueves pasado, The Guardian tuvo que cambiar por un tiro fuerte.
Feron compartió fotos en sus redes sociales sobre cómo vivió hace unas horas.
El equipo de Florence ha informado que los tribunales no tienen una fecha de devolución para el centro de Rogiamarillo, y está en línea con su evolución en las próximas semanas.









